Cardiac cachexia, a syndrome characterized by systemic destruction, nutritional impairment and weight loss [1], has a prevalence ranging between 8 and 42% around the world [2].
Volume 3 Issue 1 - 2016
Background: The prevalence of moderate to severe calcific aortic valve stenosis in patients =75 years old is 2.8% and only 40% of patients with surgical indication undergo aortic valve replacement because of high perioperative risk, older age, lack of symptoms, and patient/family refusal [1].
Clinico-Etiological Profile of Cardiac Tamponade in a Tertiary Care Centre
Background: Pericardial tamponade, a life-threatening condition caused by the accumulation of fluid in the pericardial sac, can be acute or chronic. Mortality and morbidity can be minimized on prompt diagnosis and treatment with percutaneous drainage.
Direct Aortic Evolut R Implantation as Valve-In-Valve in a Patient Affected by Leriche Syndrome
Transcatheter aortic valve implantation (TAVI) has been designed to treat elderly patients with severe aortic stenosis considered high-risk surgical candidates.
Hurdles for Starting Ministernotomy Aortic Valve Replacement Program
Research article regarding hurdles for starting ministernotomy Aortic valve replacement program in Grant Medical College, Mumbai and techniques to overcome them. Here we studied twenty patients of aortic valve replacement surgery out of which ten are operated by ministernotomy and ten by full sternotomy in our institution, from May 2013 to May 2016.
Aortic Valve Thrombosis in Antiphospholipid Syndrome Causing Coronary Artery Embolic Disease
Antiphospholipid syndrome (APS) is a disorder characterized by the presence of antiphospholipid antibodies which are known to promote thrombus formation and heart valve complications.
Subclavian Artery Pseudoaneurysm Secondary to Accidental Stone Chip Injury and its Excision
A pseudo aneurysm, also known as a false aneurysm, is a hematoma that forms as a result of a leaking hole in artery.
Historical Evolution of Surgery for Transposition of Great Arteries (TGA)
The history of surgery for transposition of great arteries (TGA) has paralleled the history of cardiac surgery.
Long Segment Left Anterior Descending Endarterectomy [10 cm] and its Reconstruction Using Left Internal Thoracic Artery
Background: Heart failure (HF) is a common cardiovascular disease with high rates of morbidity and mortality despite advances in medical and device-related management.
Background: Heart failure (HF) is a common cardiovascular disease with high rates of morbidity and mortality despite advances in medical and device-related management.
Tetrahydrobiopterin Concentrations in Normal and Coronary Artery Diseased Heart Tissue
Background: Tetrahydrobiopterin (BH4) is a cofactor that plays a major role in cardiovascular health and disease. BH4 levels in the human heart have not been previously reported.
Objective and Methods: Using a novel LC-MS/MS method we measured BH4 and BH2 levels in human heart tissue from subjects with (n=19) and without (n=19) coronary artery disease (CAD).
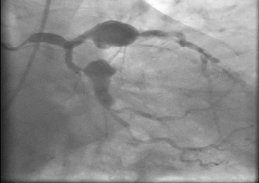
Atherosclerotic Monstrous Double Aneurysm of the Left Main Coronary Artery: A Very Rare Angiographic Finding
Coronary artery aneurysm is a rare disease diagnosed in 0.3 to 4.9% of patients undergoing coronary angiography. The incidence of left main coronary artery aneurysm (LMCAA) is extremely rare: 0.1% [1]. Coronary artery aneurysm involves the right coronary artery, the left anterior descending and circumflex coronary arteries in descending order of frequency [2] and atherosclerosis is the most common cause.
Lactate Dehydrogenase is involved in but not the Target Antigen in Children with Kawasaki Disease
Background: Kawasaki disease (KD) is an acute vasculitis often complicating coronary arterial lesions, and gradually becomes the leading cause of acquired heart disease instead of rheumatism. Previous studies often regards elevation of serum lactate dehydrogenase (LDH) level as an auxiliary diagnosis marker when judging myocardial diseases.
Oxidative Stress as "Mother" of Many Human Diseases at Strong Clinical Impact
Oxidative stress, characterized by the production in excess of free radicals, is the main aspect of all living systems which use oxygen to convert biochemical energy coming from nutrients into adenosine triphosphate. In turn free radicals, also called reactive oxygen species , induce oxidative damage to some cellular macromolecules, as lipids, proteins, and DNA .Increased reactive oxygen species serum concentration has been implicated in the pathogenesis of some, common human diseases, included both healthy and diseased ageing.
Volume 2 Issue 2 - 2015
Numerical Analysis of Arterial Plaque Thickness and its Impact on Artery Wall Compliance
A numerical analysis was completed on the influence of plaque on the compliance of an artery wall. The analysis allowed a systematic variation of the transluminal pressure difference and plaque thickness. Included in the analysis was a sheath of surrounding tissue that provides support during the cyclical deformation. The analysis incorporated progressively thicker layers of plaque to quantify their impact on the artery compliance.
Autonomic Innervation from the Aortic Root Ventricular Ganglionated Plexi to the Pulmonary Vein: A Novel Pathway
Background: Autonomic nerve innervation pathway from the ventricular GP to the pulmonary veins (PV) remains unclear.
Aim: This study investigates the autonomic innervations from aortic root ventricular GP to the PVs. Nissl's staining and fluorescent dual label staining were performed to determine the neuron structure in the aortic root GP in five dogs. Avidin Biotin Complex (ABC) staining were performed to study the efferent autonomic pathway from the aortic root GP to the PVs.
Multiple Giant Coronary Arterial Aneurysms Leading to Stable Angina
Coronary artery aneurysm (CAA) is defined as abnormal dilatation of a coronary artery luminal diameter to 1.5 to 2 times wider than the adjacent normal segment. Giant coronary artery aneurysms are rare, with a reported prevalence of 0.02% to 0.2% [1].
Double Valve Infective Endocarditis Presenting with Acute Ischemic Stroke
Infective endocarditis is a potentially fatal infectious disease which usually presents with various clinic scenarios. Although the disease generally presents itself with fever, cardiac murmur (bruit), splenomegaly and anemia; in this case we report a double valve endocarditis of a 23 years-old female patient who was admitted to our neurology clinic with acute ischemic stroke.
Mitral Valve Obstruction and Pulmonary Hypertension Caused by a Giant Left Atrial Myxoma Prolapsing in the Left Ventricle
Atrial myxomas are the most common primary cardiac tumors to diagnose. They are benign and have variable presentation. They have an excellent prognosis following surgical excision. We report a case of a 60 year old female who presented with initial signs of both right and left heart failure, fever and cough. Auscultation of the heart revealed an apical mid diastolic murmur. Trans-thoracic and trans-esophageal echocardiography revealed a pedunculated, giant left atrial myxoma that prolapsed through the mitral valve into the left ventricle in diastole producing functional mitral valve stenosis. The patient underwent a successful surgical excision of the tumor. The diagnosis and management of atrial myxomas is here reviewed.



About Journal
Aims & Scope
Submit Manuscript

