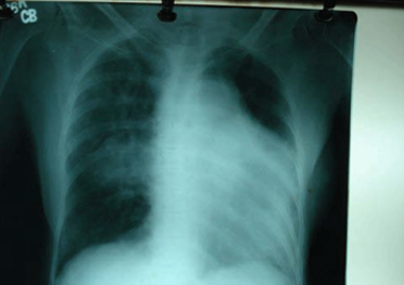
Pulmonary artery aneurysm is a very rare condition. Clinical experience is limited and current knowledge is mainly derived from autopsy findings, however, Pulmonary arterial aneurysms are being detected more frequently with modern techniques of echocardiography and angiography. We report a case of pulmonary artery aneurysm presenting with pulmonary hypertension. We will present a review of literature and discuss the differential diagnosis, presentation and management.
C-Kit Positive Cells from Failing Human Hearts: Role of Culturing Media on Cardiomyogenic Potentials
Background: The possibility of culturing heart cells in order to regenerate damaged tissue is a challenging problem. Recent observations have demonstrated the possibility of isolating and expanding resident cardiac stem cells, which could favor regeneration and functional improvement of the myocardial tissue.
Home Monitoring of Implantable Remote Loop Recorders Expedites Intervention
A70 year old woman had a Reveal LINQ (Medtronic, Minneapolis, MN, USA) implantable loop recorder (ILR) implanted to investigate a cardiac cause of syncope.Due to the ability of this device to utilise home monitoring, early detection of a significant bradycardia allowed early intervention with permanent pacing before any further episodes of syncope occurred.This highlights the utility of home monitoring with newer generation ILRs.
Mr F.P., a 33-y/o man consulted after 3 months of general status alteration with a loss of 7 kgs and nocturnal sweats. His blood pressure was controlled up to 190/110 mmHg. Clinical examination by general pratictioner was considered as normal. Bitherapy by calcium channel blockers and alpha blockers was given.




